Kuan‑Ting Hsin, Chun‑Neng Wang
与东亚特有植物苦苣苔科苦苣苔Conandron ramondioides的花辐射对称相关的花对称基因的表达研究
Botanical Studies 2018 59:24
背景:
两侧对称花部形态(zygomorphy)是苦苣苔科物种的祖先状态。然而,辐射对称的花部形态却在该科几个类群中并行演化。苦苣苔的花是天然的辐射对称花,它在密集的山区栖息地中存活,专门的传粉者很少。花对称基因如CYC,RAD和DIV基因的突变或它们的表达差异,对苦苣苔花部辐射对称的形成,从而向广谱式传粉者的转变仍有待研究。为了解决这个问题,我们分离了直系同源基因,并将它们的表达与花辐射的发育阶段联系起来。
结果:
在花瓣和雄蕊的组织特异性RT-PCR中未发现与其背侧发育有关的CrCYCs和CrRADs基因的表达,而与其腹侧发育有关的CrDIV基因在所有花瓣中均有表达。因此,苦苣苔的辐射对称的花形态是由花部的腹侧化进化而来。然而,CrCYCs仍然在萼片中表达。这与之前的研究结果一致,即萼片中的CYC表达是花部无论辐射对称还是两侧对称的真核生物种类共有的祖先状态。
结论:
在不考虑基因突变的情况下,花瓣和雄蕊背侧发育基因CrCYCs和CrRADs表达沉默可能顺式调节这些基因,从而从两侧对称变成两侧堆成。
文章链接:https://doi.org/10.1186/s40529-018-0242-x
PDF下载链接:https://as-botanicalstudies.springeropen.com/track/pdf/10.1186/s40529-018-0242-x

图1 图示为苦苣苔的花开放从花蕾到盛开不同时期的花部综合特征,对应附表1中的编号10, 13, 15时期;再苦苣苔花完全开放时候观察的花辐射对称。比例尺为1cm

图2 苦苣苔花形态发育过程的SEM照片。在萼片发育的第3阶段观察是两侧对称。基于Harrison等人(1999)对苦苣苔花发育阶段的定义。a. 在第3阶段,萼片形成五边形凸起的生长点。b. 第4阶段,萼片继续生长,而花分生组织仍未分化。c.阶段6,花冠和雄蕊生长,雌蕊开始生长。d 第7A阶段,花瓣生长。e 第7B阶段,雄蕊和雌蕊发育。f 苦苣苔花的花图式。(缩写含义:Se萼片,Pe花瓣,S雄蕊,G雌蕊群。 比例尺代表50微米)

图3 苦苣苔的CrCYC,CrRAD和CrDIV的蛋白编码基因与来自金鱼草(CYC,RAD和DIV)和五数苣苔Bournea leiophylla(BlCYC1,BlCYC2,BlRAD,BlDIV1和BlDIV2)的直系同源基因比对。

图4 分别基于CYC基因家族,RAD基因家族和DIV基因家族的构建的NJ树。

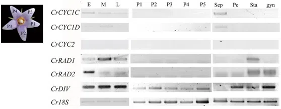
图5 分析来自苦苣苔花蕾和花不同部位的CrCYC,CrRAD和CrDIV的基因特异性RT-PCR。E,M,L代表本研究中定义的三个花发育阶段。E代表花早期发育阶段; M代表花发育中期阶段; L代表开花阶段。P1至P5代表在花早期发育阶段(E)从花蕾解剖的花瓣。Sep,Pe,Sta和gyn表示从早期花发育阶段将要发育成萼片,花瓣,雄蕊和雌蕊等部位的组织。编号CrCYC1C,CrCYC1D和CrCYC2表示基因CrCYC1C,CrCYC1D和CrCYC2的表达。编号CrRAD1和CrRAD2表示基因CrRAD1和CrRAD2的表达,编号CrDIV表示基因CrDIV的表达。基因18S作为对照组。在花发育阶段检测到CrCYC1C,CrCYC1D,CrRAD1,CrRAD2和CrDIV等基因,只有基因CrCYC2在发育阶段受到限制。在花瓣组织中检测到CrDIV基因,而基因CrCYC1C,CrCYC1D,CrCYC2,CrRAD1和CrRAD2在花瓣中受到限制。在萼片组织中检测到CrCYC1C和CrCYC2这两个基因。

图6 苦苣苔的线描图

图7

图8

图9

图10

图11

图12

图13
图7-13 苦苣苔(图片均引自Flickr和网络)